How Often Should You Whiten Your Teeth? A Dentist’s Guide

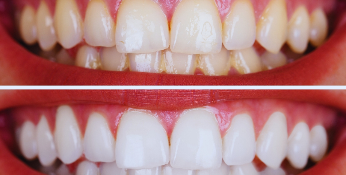
The quest for white teeth has led to the crafting of advanced procedures like teeth whitening. This super-effective procedure allows you to whiten your teeth and say goodbye to stains and discoloration.
The method includes a group of processes to eliminate and bleach out stains with ultraviolet (UV) light therapy. Due to its increasing popularity, it has become a go-to option for many like you.
However, a debatable question is attached to the treatment: How often should you whiten your teeth?
To be very honest, there is no direct answer to it. This blog can be a guide to help you reach an answer to the question. So, without any further ado, let’s find an answer.
Whiten Your Teeth! Factors Determine Interval Of Visits
We already mentioned that there is no one-word direct answer to the question. However, several factors can determine the gap you should keep between two teeth whitening sessions.
But the first step is visiting a dental specialist for teeth whitening in Highlands Ranch. They will evaluat these factors before suggesting your personalized recommendations.
Oral Hygiene Routine
Your maintenance of an oral hygiene routine can be one of the determining factors in getting teeth whitening.
- Do you brush regularly, twice a day?
- Do you floss every day?
- How long does it take to see a dentist?
A bunch of healthy practices can prolong your visits.
Enamel Health Maintenance Can Delay Whitening Your Teeth
Food choices like coffee, red wine, tobacco, fast foods, and other sticky foods and beverages negatively impact tooth enamel.
If you neglect your enamel health, you may have to be ready to face dental issues. In that case, your dentist may ask you to whiten your teeth using a professional procedure.
Types Of Teeth Stains Determine How Often You Should Whiten Your Teeth
Dentists suggest whitening teeth to you based on the type of stains you developed. There are two major types:
- Intrinsic Stains
- Extrinsic Stains
Stains inside tooth enamel are intrinsic. They may develop due to high fluoride exposure or even be genetic.
Extrinsic stains occur outside your tooth and develop due to environmental exposure. Yes, the food choices mentioned above could result in the development of these stains.
Hence, depending on the severity, you may need a teeth whitening procedure.
Oral Health Best Practices
Even this point indirectly determines how often you should whiten your teeth. When you have gone through the teeth whitening procedure, you have to focus on maintenance using the below-mentioned tips:
- Firstly, you must brush your teeth twice a day and floss daily to keep them clean and healthy.
- Secondly, you have to be mindful of your food choices to keep staining away. It’s better to avoid staining food with coffee, tea, and red wine.
- Rinsing your mouth every time after eating is considered a good oral practice.
- Routine dental checkups and cleaning are excellent ways to maintain your bright smile.
To conclude, if you maintain healthy enamel, you can whiten your teeth every 12 months.
Moderate stains develop on your teeth due to coffee, and teeth require whitening intervals every 6 to 8 months.
However, if you have heavy staining, you must be mindful of your issue. See our dentist for the best guidance and highest-quality teeth whitening services.
